قدرتمندترین دستگاه MRI جهان، اولین تصاویر مغزی خود را ثبت کرد_دانشجو
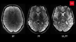
به گزارش دانشجو قدرتمندترین دستگاه MRI جهان، اولین اسکن خود از مغز انسان زنده را به ثبت رساند. این اسکن...
به گزارش دانشجو قدرتمندترین دستگاه MRI جهان، اولین اسکن خود از مغز انسان زنده را به ثبت رساند. این اسکن...