دانشمندان برای اولینبار سیستم دفع ضایعات مغز انسان را به عکس کشیدند_دانشجو
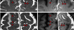
به گزارش دانشجو کارکرد درونی سیستم دفع ضایعات مغز ما سرانجام بعد از سالها گمانهزنی بهواسطه پژوهش روی مایع مغزی...
به گزارش دانشجو کارکرد درونی سیستم دفع ضایعات مغز ما سرانجام بعد از سالها گمانهزنی بهواسطه پژوهش روی مایع مغزی...
به گزارش دانشجو مطابق یافتههای تازه دانشمندان، در پستاندارانی که مغز آنها گسترشیافتهتر است، طبق معمولً اندازه جثه نرها و...
به گزارش دانشجو اسکنهای مغزی میمونهای رزوس نشان خواهند داد که هنگامی چیزی در گوشه میدان دید این جانوران قرار...
به گزارش دانشجو پژوهش تازه محققان دانشگاه مکگیل کانادا روی موشها مشخص می کند که بیاشتهایی عصبی امکان پذیر با...
به گزارش دانشجو برای اولینبار در جهان، دانشمندان مدلهای مینیاتوری از مغز انسان را رشد دادهاند که سیستم امنیتی داخلی...
به گزارش دانشجو محققان در یک مطالعه تازه دریافتند که خوردن غذای چرب در روزهای قبل از عمل جراحی میتواند...
به گزارش دانشجو محققان دپارتمان مهندسی برق و علوم کامپیوتر DGIST کره جنوبی، نسل تازه فناوری نیمهرسانا برای محصولات هوش...
به گزارش دانشجو مطابق پژوهش تازه محققان «UC Davis Health»، مغز انسان درحال بزرگترشدن است. در این مطالعه، افرادی که...
به گزارش دانشجو دانشمندان توانستهاند ارتباطی بین درآمد پایین و نابودی سریع تر ماده سفید در مغز اشکار کنند. درحالیکه...
محققان فوم سبکوزن جدیدی از نانولولههای کربنی ساختهاند که درصورت منفعت گیری از آن در کلاه ایمنی، انرژی ناشی از...