قدرتمندترین دستگاه MRI جهان، اولین تصاویر مغزی خود را ثبت کرد_دانشجو

قدرتمندترین دستگاه MRI جهان، اولین تصاویر مغزی خود را ثبت کرد

[ad_1]
به گزارش دانشجو

قدرتمندترین دستگاه MRI جهان، اولین اسکن خود از مغز انسان زنده را به ثبت رساند. این اسکن تصاویری با وضوح بسیار بالا از مغز اراعه می‌دهد. این دستگاه می‌تواند به محققان و پزشکان در فهمیدن بهتر ماهیت مغز و درمان بیماری‌های عصبی پشتیبانی کند.

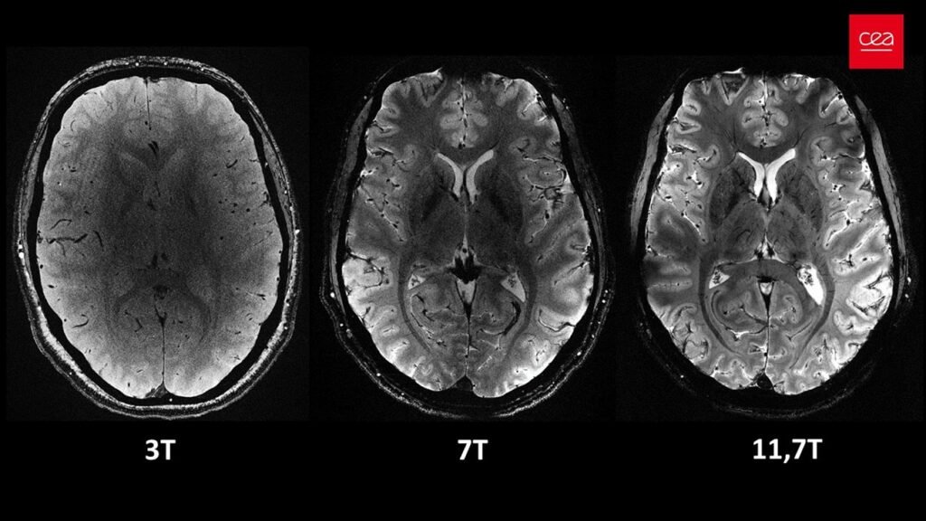
دستگاه Iseult MRI که توسط «کمیسیون انرژی‌های جانشین و انرژی اتمی فرانسه» یا CEA گسترش یافته، دارای قوت میدان مغناطیسی ۱۱.۷ تسلا است. برای قیاس، دستگاه‌های MRI معمولی که امروزه در بیمارستان‌ها مورد منفعت گیری قرار می‌گیرند، طبق معمولً ۱.۵ یا حداکثر ۳ تسلا قوت دارند. Iseult چند سال پیش روی کدو‌تنبل آزمایش شد، اما اکنون در مجموعه‌ای از آزمایش‌ها برای اولین‌بار مغز ۲۰ داوطلب سالم را اسکن کرده است.

اولین اسکن‌ مغزی قدرتمندترین دستگاه MRI جهان

مزیت مهم در این دستگاه، قوت بالای آن است که می‌تواند با شدت زیادتری تصاویری با وضوح زیاد بالا از مغز بگیرد. Iseult تنها در چهار دقیقه می‌تواند تصاویری با وضوح ۰.۲ میلی‌متری از بافت مغز را به‌صورت افقی، در برش‌هایی به ضخامت ۱ میلی‌متر ثبت کند. این حجم معادل ثبت چند هزار نورون در یک زمان اشکار است.

برای این که دستگاه‌های MRI معمولی بتوانند عکس‌هایی با این وضوح بگیرند، بیماران باید بیشتر از دو ساعت کاملاً ثابت دراز بکشند و کوچک‌ترین حرکت علتتارشدن عکس می‌شود.

این چنین عرض دهانه این دستگاه نزدیک به ۹۰ سانتی‌متر است که بیماران می‌توانند به‌راحتی سر خود را در آن قرار دهند. امکان پذیر این افزایش نسبت به اندازه ۶۰ تا ۷۰ سانتی‌متر دستگاه‌های معمولی چندان زیاد به‌نظر نرسد، اما فضای زیاد تر برای سر بیمار به افت کلاستروفوبیا (هراس از فضای بسته) پشتیبانی می‌کند.

Iseult می‌تواند به محققان و پزشکان در فهمیدن، تشخیص و درمان بیماری‌های عصبی همانند آلزایمر و پارکینسون پشتیبانی بسیاری کند. این دستگاه می‌تواند علائم و عناصر شیمیایی که با اسکن‌های MRI معمولی دیده نمی‌شوند (ازجمله مولکول‌هایی همانند گلوکز و گلوتامات)، شناسایی کند. این چنین این دستگاه می‌تواند توزیع لیتیوم در مغز را که برای درمان اختلالات دوقطبی منفعت گیری می‌شود، ردیابی کند.

دسته یندی مطالب

کسب وکار

آخرین اخبار ورزشی ,فرهنگ وهنر ,تکنولوژی و اقتصادی را در دانشجو دنبال کنید.

اخبار ورزشی

اخبار اقتصادی

فرهنگ وهنر

سلامتی

اخبار تکنولوژی

[ad_2]

منبع