دانشمندان برای اولین‌بار سیستم دفع ضایعات مغز انسان را به عکس کشیدند_دانشجو

مسیرهای مایع مغزی نخاعی

[ad_1]
به گزارش دانشجو

کارکرد درونی سیستم دفع ضایعات مغز ما سرانجام بعد از سال‌ها گمانه‌زنی به‌واسطه پژوهش روی مایع مغزی نخاعی (CSF)، در حال آشکارشدن است.

به گزارش ساینس‌الرت، مطابق پژوهشی که در PNAS انتشار شده است، در اعماق شکاف‌های پنج تکه مغز انسان، دانشمندان برای اولین بار پیچیدگی‌های یک شبکه لوله‌کشی زیربنایی را – که قبلاً در موش‌ها دیده شده و در گونه ما فقط فرضیه‌هایی را نقل کرده می بود – به عکس کشیدند.

این یافته‌ها وجود یک سیستم گلیمفاتیک را قبول می‌کند (سیستمی که مواد زائد مغزی را به بیرون مغز هدایت می‌کند). دانشمندان برای اولین‌بار در سال ۲۰۱۲ این سیستم را در مغز موش‌ها شناسایی کردند.

این سیستم مایع مغزی نخاعی (CSF) را که خارج از مغز قرار دارد، به داخل می‌برد. این چنین مواد مغذی را به سلول‌های مغزی می‌رساند و مواد زائد (همانند پروتئین‌هایی که در بیماری آلزایمر راه اندازی خواهد شد) را از بافت مغز خارج می‌کند.

از سال ۲۰۱۲، چندین مطالعه نشان داده‌اند که سیستم گلیمفاتیک در مغز انسان نیز وجود دارد، اما بدون مشاهده مایع مغزی نخاعی، این چنین ایده‌ای زیاد او گفت و گو‌برانگیز باقی مانده می بود.

«خوان پیانتینو»، متخصص مغز و اعصاب از OHSU، دراین‌باره می‌گوید:

«من خودم همیشه در رابطه این نوشته شک داشتم و تا این مدت هم تعداد بسیاری از افراد شکاک وجود دارند که آن را باور نمی‌کنند. بااین‌حال پژوهش ما این نوشته را زیاد قابل دقت می‌کند.»

پیانتینو و همکارانش در OHSU اولین افرادی می باشند که از این مایع بی‌رنگ زمان جریان‌یافتن به بافت مغز انسان زنده تصویربرداری کردند و نتایج مطالعات تصویربرداری قبلی که تنها یک عکس سریع مختصر می بود را قبول می‌کند.

این پژوهش با رضایت پنج فرد بزرگسالی که تحت عمل جراحی مغز قرار داشتند، مقدور شد. این افراد نیاز به تحول مایع مغزی نخاعی (CSF) برای عمل داشتند.

آخرین اخبار ورزشی ,فرهنگ وهنر ,تکنولوژی و اقتصادی را در دانشجو دنبال کنید.

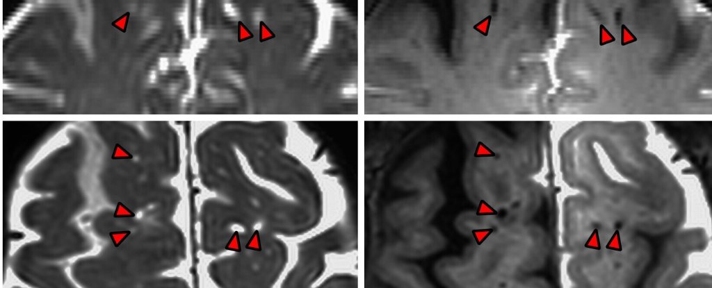
نحوه بازدید مایع مغزی نخاعی در این پژوهش

قبل از این که CSF جانشین شود، دانشمندان آن را با یک ردیاب کنتراست تیره علامت‌گذاری کردند. بعداً، نوع خاصی از تصویربرداری رزونانس مغناطیسی، محل جریان مایع در مغز شرکت‌کنندگان را ترسیم کرد.

یافته‌ها حاکی از آن است که مغز انسان به طور اتفاقی مایع مغزی نخاعی را جذب نمی‌کند. در عوض، مایع با جستوجو‌کردن مسیر رگ‌های خونی عمیق‌تر به بافت عصبی نفوذ می‌کند.

این کانال‌های اشکار‌شده CSF در واقع در اطراف خارج رگ‌های خونی قرار گرفته‌اند. مرزهای این «فضاهای دور عروقی» (Perivascular Spaces) از سلول‌های مغزی راه اندازی شده‌اند که پایه‌های خود را به یکدیگر می‌چسبانند و یک مانع نفوذپذیر را راه اندازی خواهند داد.

«ارین یاماموتو»، حراج اعصاب OHSU می‌گوید می‌توان در تصاویر MRI حاضر در این پژوهش دید که فضاهای دور عروقی تیره در مغز به‌مرور زمان روشن خواهد شد. این فرایند تا حد بسیاری همانند فرایند مشاهده‌شده در مغز موش‌ها بوده است.

دسته یندی مطالب

کسب وکار

اخبار ورزشی

اخبار اقتصادی

فرهنگ وهنر

سلامتی

اخبار تکنولوژی

[ad_2]